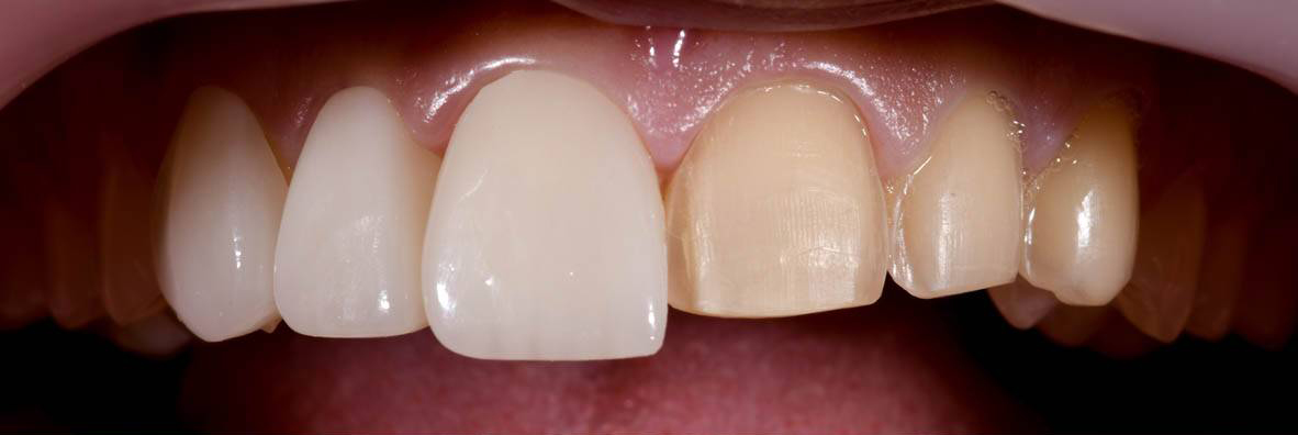
آیا لمینت دندان باعث آسیب به مینای دندان میشود؟

در سالهای اخیر، درمانهای زیبایی دندانپزشکی، بهویژه لمینت دندان (ونیر)، به اوج محبوبیت خود رسیدهاند. لمینت، با قابلیت اصلاح سریع و مؤثر مشکلات ظاهری مانند بدشکلی، تغییر رنگ یا فاصله دندانها، به ابزاری قدرتمند برای دستیابی به یک لبخند ایدهآل تبدیل شده است. با این حال، یکی از نگرانیهای اصلی و رایج در میان متقاضیان این درمان، این است.
آیا لمینت دندان، به طور برگشتناپذیری باعث آسیب به مینای دندان میشود؟
پاسخ به این سؤال، کاملاً به نوع تکنیک، تخصص دندانپزشک و فناوریهای مورد استفاده بستگی دارد. در دندانپزشکی مدرن، هدف از انجام لمینت دندان، نه تهاجم، بلکه حداقلسازی تراش است. کلینیک دندانپزشکی مدرن با پیروی از اصول دندانپزشکی با حداقل تهاجم ، تلاش میکند تا این فرآیند را با حفظ حداکثری ساختار دندان طبیعی بیمار انجام دهد.
این گزارش تحلیلی، به بررسی دقیق میزان تراش لازم، دلایل نیاز به تراش و راههایی میپردازد که متخصصان برای حفظ سلامت مینای دندان در هنگام نصب لمینت به کار میگیرند.
نقش مینای دندان و چرایی نیاز به تراش در لمینت
مینای دندان، سختترین بافت بدن و اولین سد دفاعی دندان در برابر پوسیدگی و سایش است. اگرچه لمینت روی این مینا قرار میگیرد، در برخی موارد، تراش جزئی مینا ضروری است.
ایجاد فضای مناسب در دهان برای لمینت
مهمترین دلیل تراش، ایجاد فضای کافی برای قرارگیری لمینت است. ضخامت ونیرهای پرسلن معمولاً بین ۰.۳ تا ۰.۷ میلیمتر است. اگر این لمینت بدون تراش روی دندان نصب شود، دندان حجیم و غیرطبیعی (اصطلاحاً “دندان اسبی”) به نظر میرسد. تراش هدفمند، از این اتفاق جلوگیری میکند.
بهبود چسبندگی
اگرچه لمینت دندان میتواند به عاج دندان هم بچسبد، بهترین و قویترین پیوند (Bond) بین لمینت و مینای دندان اتفاق میافتد. حذف لایه سطحی و نامنظم مینا، به ایجاد یک سطح ایدهآل برای باندینگ شیمیایی کمک میکند و طول عمر لمینت را تضمین مینماید.
اصلاح ناهنجاری های شدید
در دندانهایی که دارای چرخش، بیرونزدگی یا ناهنجاریهای شدید در سطح هستند، تراش مینا برای همتراز کردن سطح دندان و ایجاد یک خط صاف برای لمینت ضروری است.
تراش حداقلی دندان
در کلینیک دندانپزشکی مدرن، واژه “تراش” به معنای “تخریب” نیست، بلکه به معنای “اصلاح” است. رویکرد متخصصان در کلینیک مدرن بر اساس پروتکل “تراش انتخابی و حداقلی” است.
اندازهگیری دقیق با گاژها
متخصصان زیبایی از ابزارهای اندازهگیری تخصصی به نام گاژهای عمقسنج استفاده میکنند. این ابزارها تضمین میکنند که تراش، فقط به میزان ضروری (اغلب در حد ۰.۳ تا ۰.۵ میلیمتر) و فقط در مینای دندان انجام شود و از نفوذ غیرضروری به عاج زیرین جلوگیری گردد.
استفاده از تکنیکهای بدون تراش
در شرایطی که دندانها کمی عقبتر از قوس طبیعی قرار گرفتهاند، یا فاصله بین دندانی (دیاستما) وجود دارد، میتوان از لمینتهای فوق نازک بدون نیاز به تراش یا با حداقل تراش استفاده کرد. این روش، حداکثر حفظ ساختار دندان را به همراه دارد.
ماکآپ و راهنمای تراش لمینت
در کلینیک مدرن، قبل از شروع تراش، از ماکآپ (مدل موقت) استفاده میشود. این مدل موقت، دقیقاً بهعنوان یک راهنما عمل میکند و متخصص را هدایت میکند که فقط در نقاطی که ماکآپ نیاز به اصلاح دارد، تراش انجام شود. این کار، از تراش اضافی جلوگیری میکند.
نتیجه این رویکرد، این است که اگر تراش توسط متخصص باتجربه و با تجهیزات مدرن انجام شود، آسیب به مینای دندان به حداقل ممکن میرسد و بخش بزرگی از مینا برای باندینگ قوی و حمایت از دندان حفظ میشود.
باندینگ قوی: عامل تضمین سلامت بلندمدت
لمینتهای پرسلن، پس از نصب، از دندان در برابر محیط خارجی محافظت میکنند. نکته حیاتی، کیفیت باندینگ (چسبندگی) لمینت به دندان است:
-
پیوند شیمیایی قوی: در کلینیک مدرن، از رزینهای باندینگ تخصصی استفاده میشود که یک پیوند شیمیایی قدرتمند بین پرسلن و مینای دندان ایجاد میکنند.
-
آببندی کامل : اگر لمینت به طور کامل و بدون درز چسبانده شود، باکتریها و مایعات دهانی نمیتوانند به زیر آن نفوذ کنند. در نتیجه، دندان زیر لمینت از پوسیدگی محافظت میشود. نقص در باندینگ، میتواند منجر به نشت و در نهایت، پوسیدگی دندان شود.
لمینت یا ترمیم های محافظهکارانه دیگر؟
انتخاب بین لمینت و سایر روشهای ترمیم، بستگی به نوع آسیب دارد. در دندانپزشکی مدرن، ما همیشه در جستجوی روشی هستیم که کمترین تهاجم و بیشترین دوام را داشته باشد.
در مواردی که دندان دچار پوسیدگی وسیع یا شکستگیهای بزرگ در سطح جونده شده است و نیاز به ترمیم داخلی دارد، روشهایی مانند اینله و انله دندان بهترین جایگزین هستند.
-
اینله و انله دندان ترمیمهایی غیرمستقیم و لابراتواری هستند که هدف آنها حفظ ساختار دندان طبیعی و تقویت آن در برابر نیروهای جویدن است. این روشها به جای روکش کامل یا فیلینگهای بزرگ، تنها بخش آسیبدیده دندان را هدف قرار میدهند و از تراشیدن مینای سالم جلوگیری میکنند.
-
انتخاب هوشمندانه: در کلینیک مدرن، اگر هدف صرفاً اصلاح رنگ و شکل است، لمینت دندان انتخاب میشود. اما اگر دندان نیاز به ترمیم ساختاری و حفظ استحکام دارد، اینله و انله دندان اولویت دارند.
نقش تکنولوژی کلینیک مدرن در حفظ مینا
استفاده از تکنولوژیهای پیشرفته در کلینیک مدرن، تضمینکننده حداقل آسیب به مینای دندان است:
-
اسکن سهبعدی: قالبگیری دیجیتال با اسکنرهای داخل دهانی، دقت مدلسازی را به حداکثر میرساند و خطای ساخت لمینت را که ممکن است منجر به تراش مجدد شود، حذف میکند.
-
ابزار دقیق تراش: استفاده از توربینهای پرسرعت با سیستمهای خنککننده پیشرفته، از گرم شدن مینا و آسیب حرارتی به پالپ دندان جلوگیری میکند.
-
کنترل رنگ با نور: در مرحله سمانکاری، از نورهای تخصصی برای اطمینان از مطابقت رنگ نهایی لمینت استفاده میشود تا از نیاز به سمان مجدد یا تغییر رنگ جلوگیری شود.
سؤال “آیا لمینت دندان به مینا آسیب میزند؟” به دندانپزشک شما بازمیگردد. اگر درمان توسط متخصص زیبایی مجرب، با رعایت دقیق پروتکلهای تراش محافظهکارانه و استفاده از قویترین سیستمهای باندینگ انجام شود، این درمان نه تنها به مینا آسیب نمیزند، بلکه یک پوشش مقاوم و محافظ برای دندان شما فراهم میکند.
در کلینیک مدرن، تعهد ما به حفظ سلامت دندانهای شما در اولویت است. ما با دقت وضعیت دندانهای شما را ارزیابی میکنیم تا مطمئن شویم روش انتخابی (چه لمینت باشد و چه ترمیمهای محافظهکارانهای مانند اینله و انله دندان)، بهترین نتیجه را با کمترین تهاجم برای سلامت بلندمدت شما به ارمغان آورد.
برای مشاوره تخصصی در مورد سلامت و زیبایی دندانهای خود و آگاهی از مناسبترین روشهای درمانی، میتوانید به کلینیک مدرن مراجعه کنید.




